Soludental

Restauración Dental en Santa Cruz de Tenerife

Ofrecemos servicios de restauración y reconstrucción dental en Santa Cruz de Tenerife para devolver la funcionalidad y estética a tu sonrisa. Nuestro equipo de odontólogos especializados en restauración dental utiliza técnicas avanzadas para asegurar resultados duraderos y naturales.

Tratamientos de Restauración Dental en Santa Cruz de Tenerife

La restauración dental se enfoca en reparar y mejorar la estructura de los dientes dañados o deteriorados. Nuestros odontólogos especializados en Santa Cruz de Tenerife, en restauración dental ofrecen soluciones personalizadas para cada paciente, asegurando una sonrisa funcional y estética.

Reconstrucción dental Santa Cruz de Tenerife

Restauración Dental en Santa Cruz de Tenerife

Disponemos de una amplia gama de tratamientos de restauración dental en Santa Cruz de Tenerife diseñados para restaurar y embellecer tu sonrisa. Nuestros especialistas dentales te guiarán para elegir el tratamiento más adecuado:

Carillas Dentales: Láminas delgadas que se colocan en la parte frontal de los dientes para mejorar su apariencia.

Coronas Dentales: Cubren completamente un diente dañado, devolviendo su forma, tamaño y fuerza.

Reconstrucción Dental: Procedimiento para reparar dientes dañados por caries, fracturas u otros problemas.

Empastes Estéticos: Rellenos de composite que restauran la función y apariencia de los dientes.

Tratamiento de Reconstrucción Dental en Santa Cruz de Tenerife

El procedimiento de restauración dental en Tenerife se realiza con precisión y cuidado para asegurar los mejores resultados. Cada etapa del proceso es personalizada para satisfacer las necesidades del paciente:

Evaluación y Diagnóstico: Se realiza un examen completo para identificar las necesidades específicas del paciente.

Planificación del Tratamiento: Se elabora un plan de tratamiento personalizado, detallando los procedimientos necesarios.

Preparación del Diente: Se prepara el diente afectado para el tratamiento de restauración.

Colocación de la Restauración: Se coloca la restauración dental, asegurando un ajuste perfecto y una apariencia natural.

Cómo Funciona la Restauración Dental en Santa Cruz de Tenerife

La restauración dental implica el uso de diversos materiales y técnicas para reparar dientes dañados. Nuestros odontólogos especializados en restauración dental utilizan tecnología avanzada para asegurar que las restauraciones se integren perfectamente con tus dientes naturales, proporcionando una solución duradera y estética.

Ventajas de la Restauración Dental en Santa Cruz de Tenerife

Funcionalidad Mejorada

Restauran la capacidad de masticar y hablar correctamente.

Apariencia Natural

Utilizamos materiales que se asemejan a los dientes naturales para un resultado estético.

Prevención de Problemas

Ayudan a prevenir futuros problemas dentales al fortalecer los dientes dañados.

Durabilidad

Ofrecen soluciones duraderas con el cuidado adecuado.

Confianza Renovada

Mejora la autoestima al tener una sonrisa saludable y atractiva.

¿Es Adecuado el Tratamiento de Reconstrucción Dental para Ti?

Los tratamientos de restauración dental son ideales para cualquier persona que tenga dientes dañados o desalineados y desee mejorar su salud dental y estética. Son especialmente recomendados para aquellos que buscan soluciones duraderas y naturales.

En Soludental te ofrecemos el mejor tratamiento adaptado a tus necesidades.

Comienza Hoy tu Tratamiento de Restauración Dental

¿Necesitas más información sobre nuestros tratamientos de restauración dental en Santa Cruz de Tenerife? No dudes en ponerte en contacto con nosotros. En Soludental, te guiaremos con confianza para mejorar la salud y estética de tu sonrisa. Visítanos en Santa Cruz de Tenerife y descubre un servicio dental de calidad y resultados excepcionales.

Opiniones y Testimonios de Nuestros Pacientes

Resolvemos tus Dudas sobre Restauración Dental

La restauración dental es un conjunto de tratamientos que reparan y mejoran los dientes dañados, devolviendo su funcionalidad y apariencia natural.

La duración de una restauración dental depende del tipo de tratamiento y del cuidado que se le dé, pero generalmente puede durar muchos años.

La mayoría de los procedimientos se realizan bajo anestesia local, minimizando cualquier molestia durante el tratamiento.

Ofrecemos carillas dentales, coronas, empastes estéticos y reconstrucciones dentales, adaptados a las necesidades de cada paciente.

Mantén una buena higiene oral, cepilla y usa hilo dental diariamente, y realiza revisiones periódicas con tu dentista.

Cualquier persona con dientes dañados, fracturados o con caries es un buen candidato para la restauración dental. Nuestros especialistas evaluarán tu caso para ofrecerte la mejor solución.

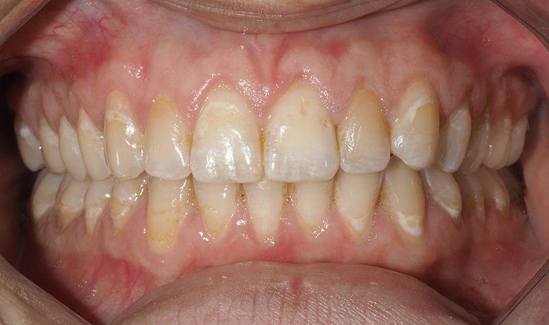
NUESTROS CASOS:

Resina infiltrativa

soludental
ANTES
soludental
DESPUÉS

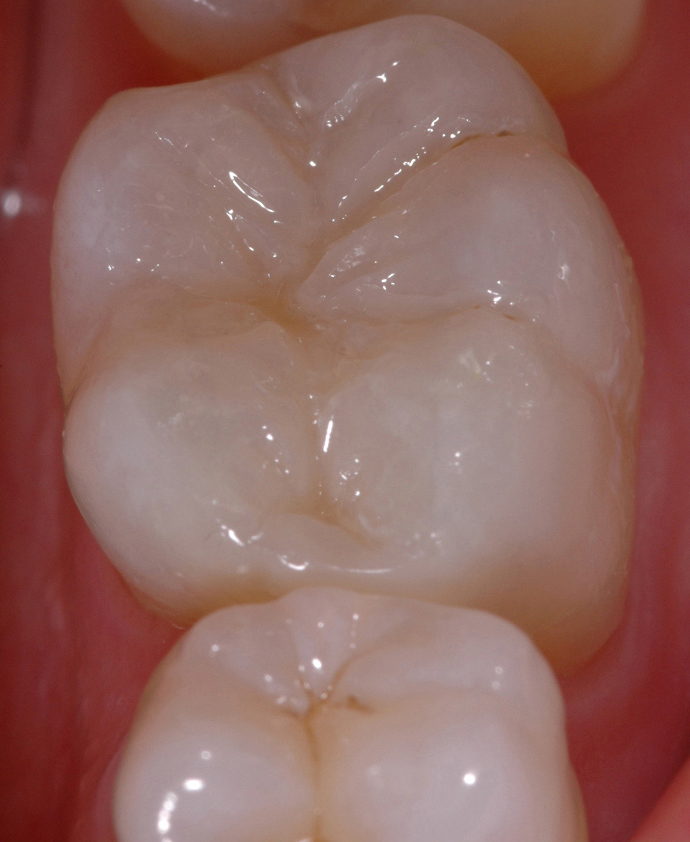
Obturaciones posteriores con Composite

restauradora-antes
ANTES (Amalgama)
restauradora-despues
DESPUÉS (Composite)