Home » Endodoncia en Santa Cruz de Tenerife
Somos especialistas en endodoncia en Santa Cruz de Tenerife para tratar infecciones y salvar tus dientes. Nuestro equipo de odontólogos especializados en endodoncia utiliza técnicas avanzadas para garantizar la salud y longevidad de tus dientes.
La endodoncia es una especialidad dental que se enfoca en el tratamiento de las infecciones en el interior del diente, específicamente en la pulpa dental. En nuestra clínica dental en Santa Cruz de Tenerife, los odontólogos especializados en endodoncia realizan tratamientos de conducto para eliminar infecciones y salvar los dientes dañados, asegurando su funcionalidad y estética.
En Soludental, ofrecemos una variedad de tratamientos endodónticos en Santa Cruz de Tenerife adaptados a las necesidades de cada paciente. Nuestros especialistas te guiarán a través de las mejores opciones para tratar infecciones dentales y salvar tus dientes:
Tratamiento de Conducto: Limpieza y sellado de los conductos radiculares para eliminar la infección.
Retratamiento Endodóntico: Procedimiento para corregir un tratamiento de conducto previo que no se ha curado adecuadamente.
Cirugía Endodóntica (Apicectomía): Remoción quirúrgica del extremo de la raíz del diente para tratar infecciones persistentes.
El procedimiento de tratamiento endodóntico en nuestra clínica dental en Santa Cruz de Tenerife se realiza en varias etapas para asegurar los mejores resultados posibles. Cada etapa del proceso es realizada con el máximo cuidado y profesionalismo, garantizando una experiencia segura y cómoda para nuestros pacientes. A continuación, te explicamos cómo se lleva a cabo este procedimiento:
Evaluación y Diagnóstico: Se realiza un examen completo para identificar la infección y planificar el tratamiento.
Limpieza del Conducto: Se elimina la pulpa infectada y se limpia el interior del diente.
Sellado del Conducto: Se sella el conducto radicular para prevenir futuras infecciones.
Restauración del Diente: Se coloca una corona o relleno para restaurar la forma y función del diente.
La endodoncia se enfoca en el tratamiento de infecciones en la pulpa dental y los conductos radiculares. Utilizando técnicas avanzadas y personalizadas, nuestros odontólogos especializados en endodoncia en Santa Cruz de Tenerife aseguran que tus dientes se mantengan saludables y libres de infecciones.
Permite conservar los dientes naturales que de otra manera podrían necesitar extracción.
Alivia el dolor dental causado por infecciones en la pulpa.
Elimina las bacterias del interior del diente, previniendo la propagación de infecciones
Mantiene la capacidad de masticar y hablar adecuadamente.
Conserva la apariencia natural de tus dientes.
Los tratamientos endodónticos son esenciales para cualquier persona que desee salvar sus dientes naturales y mantener una buena salud dental. Son especialmente recomendados para quienes presentan signos de infección en la pulpa dental, como dolor intenso, sensibilidad prolongada o hinchazón.
En Soludental, clínica dental de Santa Cruz de Tenerife, te ofrecemos un tratamiento adaptado a tus necesidades.
Deseas más información sobre nuestros tratamientos de endodoncia en Santa Cruz de Tenerife? No dudes en ponerte en contacto con nosotros. En Soludental, te asesoraremos con confianza para mejorar la salud y funcionalidad de tus dientes. Te esperamos en Santa Cruz de Tenerife para ofrecerte un servicio de calidad y resultados excepcionales.
Publicado en YamilaTrustindex verifica que la fuente original de la reseña sea Google. Muchas gracias a las chicas por el servicio prestado, por el tratamiento dado a mí sobrina haciendo un derroche de profesionalidad , amabilidad y buen servicioPublicado en Thinley DroduelTrustindex verifica que la fuente original de la reseña sea Google. Encantado con la atención de todas las chicas, muy atentas y pendientes siempre de tu salud bucal. Recomiendo 💯Publicado en NIEVES CORDOBA PEREZTrustindex verifica que la fuente original de la reseña sea Google. Grandes profesionales y un trato cercano e inmejorable,siempre me siento en buenas manos!!especial mención a Eleanorah y Danays porque siempre me tratan de maravillaPublicado en Pedro RodriguezTrustindex verifica que la fuente original de la reseña sea Google. Maravilloso.con y l miedo que me daba y ahora me encuentro como en casa .recomiendo 100 💯Publicado en Zeus Sánchez EgurenTrustindex verifica que la fuente original de la reseña sea Google. Es un buen dentista y la gente es muy majaPublicado en Yaiza MoraTrustindex verifica que la fuente original de la reseña sea Google. Buen servicio!
Es una especialidad dental que trata infecciones en el interior del diente, específicamente en la pulpa dental.
Si tienes dolor intenso, sensibilidad prolongada o hinchazón, es recomendable consultar a un especialista.
Incluye la limpieza y sellado de los conductos radiculares, y en algunos casos, cirugía endodóntica.
Se realiza bajo anestesia local y las molestias suelen ser mínimas.
Depende de la gravedad de la infección, pero generalmente incluye varias visitas al dentista.
Puede haber alguna incomodidad al principio, pero generalmente desaparece a medida que te acostumbras al tratamiento.
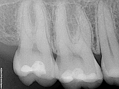
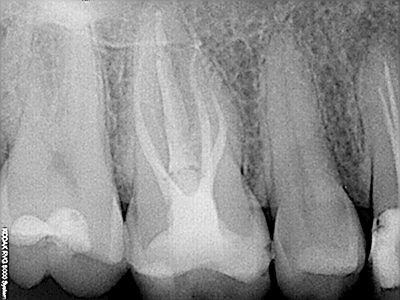
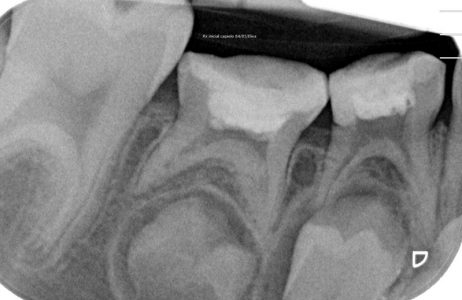
NUESTROS CASOS:
Endodoncia
Capielo
Contáctanos