Soludental

Prótesis Dentales en Santa Cruz de Tenerife

En Soludental, nos especializamos en prótesis dental en Santa Cruz de Tenerife para restaurar tu sonrisa de manera eficaz y natural. Nuestro equipo de odontólogos especializados en prótesis utiliza tecnología de vanguardia para proporcionar soluciones que mejoren tu calidad de vida.

Recupera tu Sonrisa con Prótesis Dentales

La prótesis dental es un tratamiento odontológico destinado a reemplazar dientes perdidos y restaurar la funcionalidad y estética de la boca. En Soludental trabajamos para ofrecerte prótesis dentales en Tenerife que se ajusten a tus necesidades específicas, asegurando una sonrisa natural y saludable.

Prótesis Dental en Santa Cruz de Tenerife

Disponemos de una variedad de prótesis dental en Santa Cruz de Tenerife adaptadas a las necesidades de cada paciente. Nuestros especialistas dentales te asesorarán para elegir la opción más adecuada:

Prótesis Fijas: Incluyen coronas, puentes y prótesis sobre implantes que se fijan de manera permanente.

Prótesis Removibles: Son dentaduras completas o parciales que pueden ser retiradas para su limpieza.

Prótesis Mixtas: Las prótesis mixtas son una combinación de prótesis fijas y removibles para ofrecer una solución completa y personalizada.

Cómo Realizamos la Colocación de Prótesis en Santa Cruz de Tenerife

Nuestro procedimiento de colocación de prótesis dental en Santa Cruz de Tenerife se realiza en varias etapas para asegurar los mejores resultados posibles. Cada etapa del proceso es llevada a cabo con el máximo cuidado y profesionalismo, garantizando una experiencia segura y cómoda para nuestros pacientes:

Evaluación y Planificación: Realizamos un diagnóstico exhaustivo para planificar el tratamiento más adecuado.

Preparación del Diente o Implante: Si es necesario, se preparan los dientes o se colocan los implantes.

Toma de Impresiones: Se toman impresiones precisas para fabricar las prótesis.

Colocación de la Prótesis: Se ajusta y fija la prótesis, asegurando un encaje perfecto.

Funcionamiento de las Prótesis Dentales en Santa Cruz de Tenerife

Las prótesis dentales reemplazan los dientes perdidos y restauran la funcionalidad y estética de la boca. Utilizando materiales biocompatibles y técnicas avanzadas, nuestros odontólogos especializados en prótesis en Santa Cruz de Tenerife aseguran que las prótesis se adapten de manera perfecta, ofreciendo una solución duradera y efectiva.

Beneficios de las Prótesis Dentales en Santa Cruz de Tenerife

Funcionalidad Mejorada

Permiten masticar y hablar con normalidad.

Mejora Estética

Proporcionan una apariencia natural y mejoran la sonrisa.

Salud Bucal

Previenen el desplazamiento de los dientes adyacentes y la pérdida ósea.

Comodidad y Adaptabilidad

Diseñadas para ajustarse perfectamente a la boca del paciente

Durabilidad

Con el cuidado adecuado, las prótesis dentales pueden durar muchos años.

Prótesis dental en Santa Cruz de Tenerife

Pacientes para Tratamientos de Prótesis Dental en Santa Cruz de Tenerife

Los tratamientos de prótesis dental son esenciales para cualquier persona que haya perdido uno o más dientes y desee restaurar su funcionalidad y estética bucal. Son especialmente recomendados para aquellos que buscan una solución duradera y natural.

En Soludental, te ofreceremos el mejor tratamiento adaptado a tus necesidades.

¡Solicita tu Cita Ahora y Transforma tu Sonrisa en Santa Cruz de Tenerife!

Deseas más información sobre nuestros tratamientos de prótesis dental en Santa Cruz de Tenerife? No dudes en ponerte en contacto con nosotros. En Soludental, te asesoraremos con confianza para mejorar la salud y estética de tu sonrisa. Te esperamos en Santa Cruz de Tenerife para ofrecerte un servicio de calidad y resultados excepcionales.

Opiniones y Testimonios de Nuestros Pacientes

Todo lo que Necesitas Saber sobre Prótesis Dental en Santa Cruz de Tenerife

Una prótesis dental es un dispositivo diseñado para reemplazar dientes perdidos, restaurando la funcionalidad y la estética de la boca, permitiendo masticar y hablar con normalidad.

Con el cuidado adecuado y mantenimiento regular, una prótesis dental puede durar muchos años, proporcionando una solución duradera y confiable para la pérdida de dientes.

El proceso se realiza bajo anestesia local, lo que minimiza las molestias durante el tratamiento. La mayoría de los pacientes experimentan molestias mínimas durante y después del procedimiento.

Existen prótesis fijas, como coronas y puentes, y prótesis removibles, como dentaduras completas o parciales. También ofrecemos prótesis combinadas para soluciones personalizadas.

Mantén una buena higiene oral cepillando tus prótesis diariamente y realizando revisiones periódicas con tu dentista para asegurar su correcto funcionamiento y durabilidad.

Cualquier persona que haya perdido dientes y desee mejorar su funcionalidad y estética bucal es un buen candidato para las prótesis dentales. Nuestros especialistas evaluarán tu caso para ofrecerte la mejor solución.

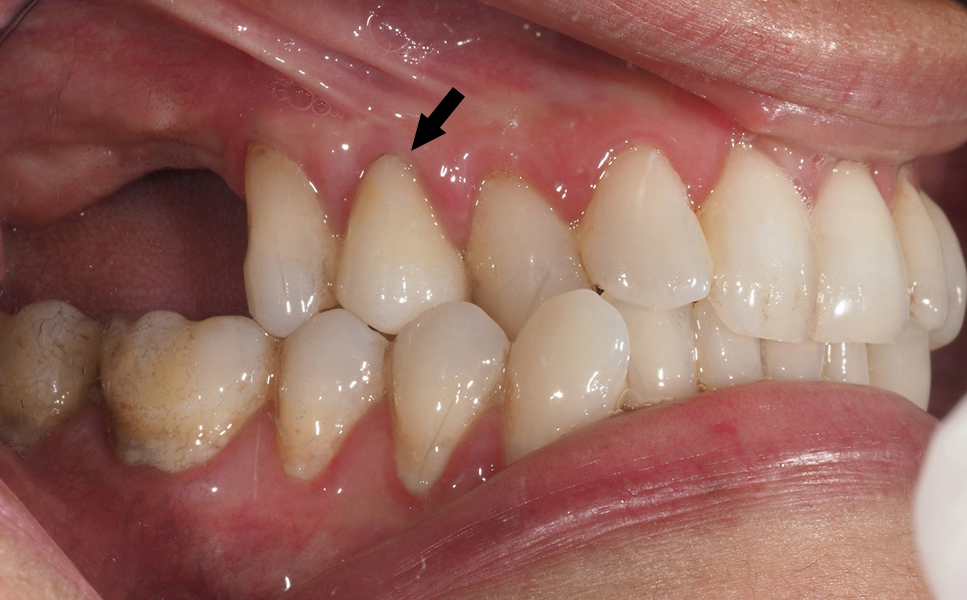
¿Qué ocurre si no reponemos las piezas?

PRÓTESIS FIJA

PRÓTESIS FIJA DENTOSOPORTADAS

CORONA

PUENTE

PRÓTESIS FIJA SOBRE IMPLANTES

CORONA

PUENTE

DENTADURA COMPLETA FIJA (HÍBRIDA)

PRÓTESIS REMOVIBLE

PARCIAL ESQUELÉTICO

PARCIAL FLEXIBLE

COMPLETA SOBRE ENCÍA

COMPLETA SOBRE IMPLANTES (LOCATOR)

NUESTROS CASOS:

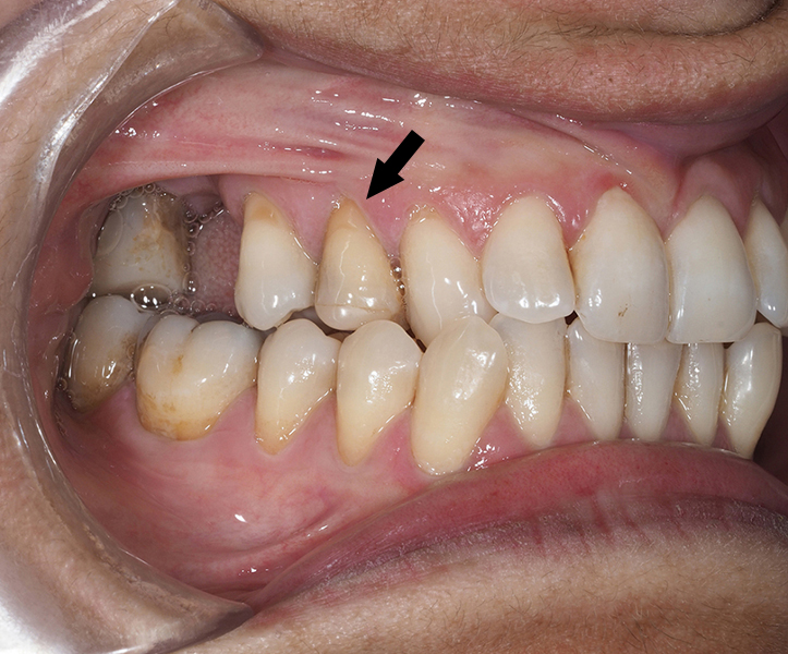
Corona posterior sobre muñón de zirconio, pieza 25

soludental
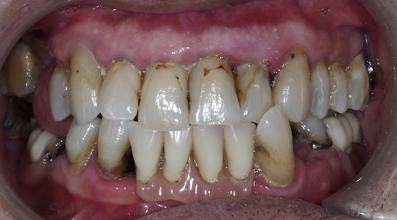
ANTES
soludental
COLOR
soludental
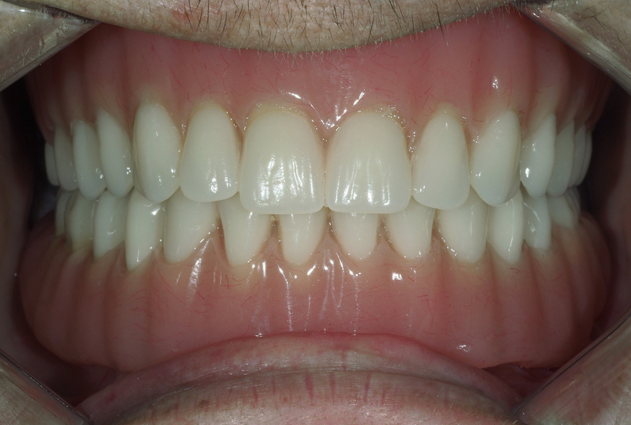
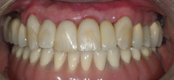
DESPUÉS

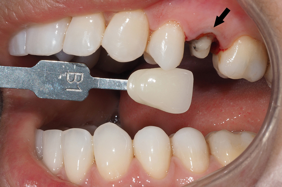
Corona posterior sobre muñón de zirconio, pieza 14

7011-ANTES - copia
ANTES
7011-COLOR - copia
COLOR
7011-DESPUES - copia
DESPUÉS

Corona sobre implante

implante01 - copia
ANTES
implante02 - copia
DESPUÉS

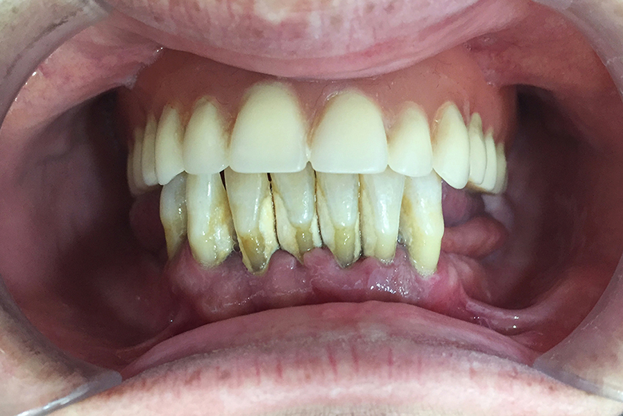
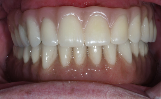
Prótesis completa acrílica superior

soludental
ANTES
soludental
DESPUÉS

Prótesis completa acrílica superior

soludental
ANTES
soludental
DESPUÉS

Prótesis completa acrílica superior e inferior

6927-ANTES
ANTES
soludental
DESPUÉS

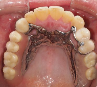
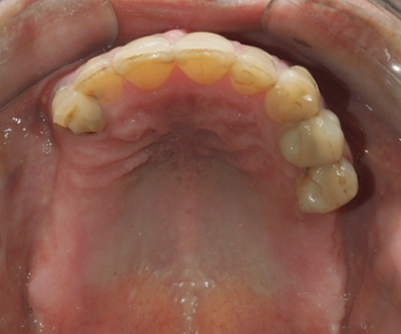
Prótesis parcial esquelética superior

7589-ANTES
ANTES
7589-DESPUES
DESPUÉS

Rehabilitación con puentes sobre implantes dentales y carillas

implantes-antes
ANTES
implantes-despues
DESPUÉS

Prótesis inferior completa sobre implantes sistema Locator y rehabilitación superior con prótesis fijas sobre pilares naturales

6780-ANTES
ANTES
6780-DESPUES
DESPUÉS

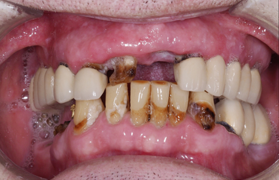
Prótesis híbrida sobre implantes superiores y puente y corona sobre implantes inferiores.

6129-ANTES
ANTES
6129-DESPUES
DESPUÉS

Prótesis híbrida superior sobre implantes y prótesis completa inferior sobre implantes sistema Locator

6623-ANTES
ANTES
6623-DESPUES
DESPUÉS