Soludental

Ortodoncia Invisible en Santa Cruz de Tenerife

¿Sueñas con una sonrisa perfecta pero buscas una solución estética y discreta? En Soludental, ofrecemos ortodoncia invisible en Tenerife, la solución más discreta y cómoda para alinear tus dientes sin que nadie lo note.

Con tecnología avanzada y planificación digital, diseñamos un tratamiento personalizado de ortodoncia transparente en Santa Cruz de Tenerife para que logres los mejores resultados sin sacrificar estética ni comodidad.

¿Cómo funciona exactamente la ortodoncia invisible?

Este innovador sistema utiliza una serie de alineadores transparentes hechos a medida que se cambian periódicamente para ir moviendo gradualmente los dientes a su posición ideal. A diferencia de los brackets, estos alineadores son prácticamente imperceptibles y pueden removerse para comer y cepillarse los dientes, ofreciendo mayor comodidad en el día a día.

Ortodoncia Invisible en Santa Cruz de Tenerife

Proceso de nuestro tratamiento de ortodoncia invisible con Invisalign en Santa Cruz de Tenerife paso a paso:

  1. Consulta inicial: Evaluación completa con escáner intraoral 3D.

  2. Planificación digital: Visualizarás el resultado final antes de empezar.

  3. Entrega de alineadores: Recibirás varios juegos para ir cambiando en casa.

  4. Controles periódicos: Seguimiento cada 6-8 semanas para monitorizar el progreso.

ortodoncia invisible tenerife

¿Quiénes son candidatos ideales para recibir el tratamiento de ortodoncia invisible en Santa Cruz con nosotros?

La ortodoncia invisible es perfecta para corregir casos de apiñamiento dental leve a moderado, diastemas (separaciones entre dientes) y algunas maloclusiones. Nuestros especialistas en Soludental evaluarán tu caso particular para determinar si este tratamiento es el más adecuado para ti, ofreciéndote siempre un diagnóstico honesto y profesional.

Mitos comunes sobre la ortodoncia transparente

Algunos pacientes creen que este tratamiento es menos efectivo que los brackets tradicionales, pero la realidad es que, en casos adecuadamente seleccionados, los resultados son igual de precisos. Tampoco es cierto que sea exclusivo para casos muy simples; actualmente existen sistemas que pueden manejar correcciones complejas.

Ventajas clave de elegir nuestro tratamiento de ortodoncia invisible en Santa Cruz de Tenerife

Discreción total

Los alineadores son transparentes y apenas visibles, ideal para adultos y profesionales.

Mayor comodidad:

Sin alambres ni brackets que puedan irritar mejillas y encías.

Higiene más sencilla

Puedes quitarlos para cepillarte normalmente, reduciendo riesgo de caries.

Sin restricciones alimenticias

Retíralos para comer lo que quieras sin preocupaciones.

ortodoncia invisible

¿Por qué realizarte un tratamiento de Invisalign en Tenerife con nosotros?

En nuestra clínica nos enorgullecemos de ofrecer:

  1. Tecnología de última generación para diagnósticos precisos

  2. Especialistas certificados en ortodoncia invisible

  3. Planes de financiamiento adaptados a cada presupuesto

  4. Atención personalizada durante todo el proceso

¿Listo para transformar tu sonrisa con ortodoncia invisible en Tenerife?

Si buscas una solución ortodóntica efectiva que se adapte a tu estilo de vida sin sacrificar estética, la ortodoncia invisible puede ser la opción perfecta. En Soludental estamos comprometidos con ayudarte a lograr la sonrisa que siempre has deseado, con tratamientos personalizados y de la más alta calidad.

Opiniones y Testimonios de Nuestros Pacientes

Preguntas frecuentes sobre nuestros tratamientos de ortodoncia transparente en Tenerife

Puedes sentir una ligera presión los primeros días con cada nuevo alineador, pero es mucho más cómodo que los brackets.

Se recomienda usarlos 22 horas diarias, quitándolos solo para comer y cepillarte los dientes.

Depende de cada caso, pero la mayoría de pacientes notan cambios a partir del tercer mes.

No es recomendable, ya que pueden mancharse. Lo ideal es quitarlos para consumir estos productos.

Contacta con nosotros inmediatamente para reponerlo y evitar retrasos en tu tratamiento.

Nuestros casos de ortodoncia invisible con invisalign en Tenerife antes y después

Ortopedia Klammt

soludental
ANTES
DURANTE
DURANTE
DESPUES
DESPUÉS

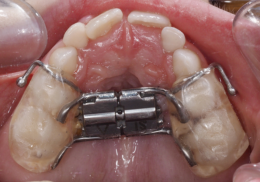
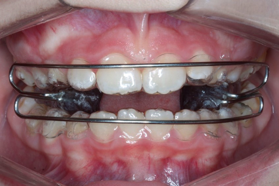
Ortopedia Disyuntor con ganchos para máscara extraoral

soludental
ANTES
soludental
DURANTE
soludental
DESPUÉS
soludental
ANTES
soludental
DURANTE
soludental
DESPUÉS

Ortopedia Disyuntor con ganchos para máscara extraoral

soludental
ANTES
soludental
DURANTE
soludental
DESPUÉS
soludental
ANTES
soludental
DURANTE
soludental
DESPUÉS

Ortopedia Twinblock

6162-ANTES (1)
ANTES
6162-DURANTE (1)
DURANTE
soludental
DESPUÉS
6162-ANTES (2)
ANTES
6162-DURANTE (2)
DURANTE
6162-DESPUES (2)
DESPUÉS

Ortodoncia con alineadores invisibles

5147-01
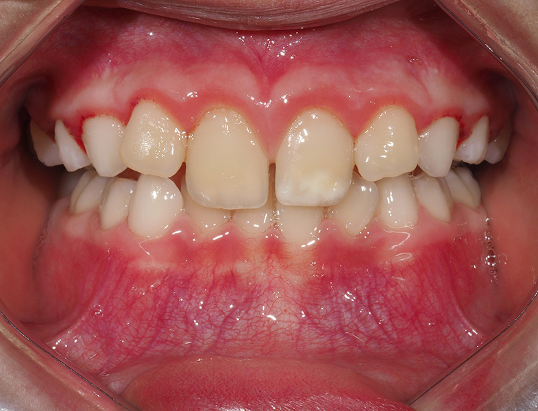
CARA ANTES
5147-02
CARA DESPUÉS
dossier-soludental-5147-horizontal.cdr
SONRISA ANTES
dossier-soludental-5147-horizontal.cdr
SONRISA DESPUÉS
dossier-soludental-5147-horizontal.cdr
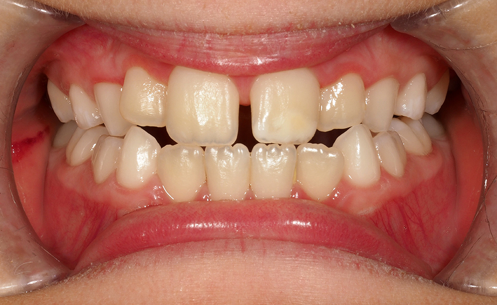
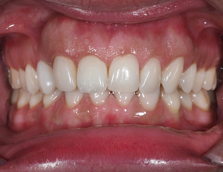
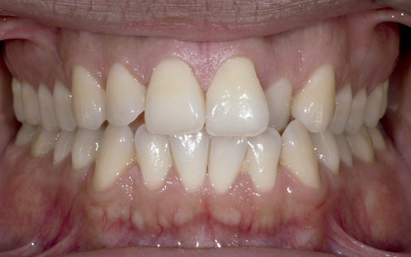
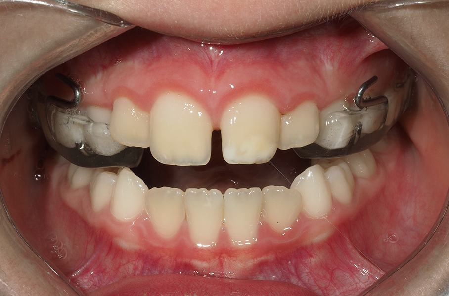
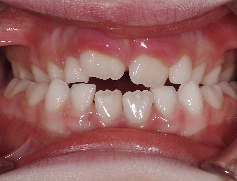
FRONTAL ANTES
dossier-soludental-5147-horizontal.cdr
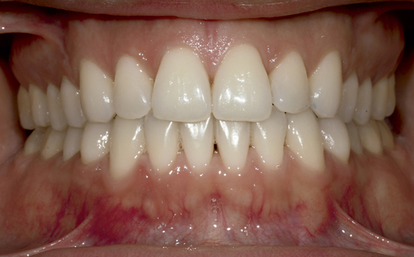
FRONTAL DESPUÉS
dossier-soludental-5147-horizontal.cdr
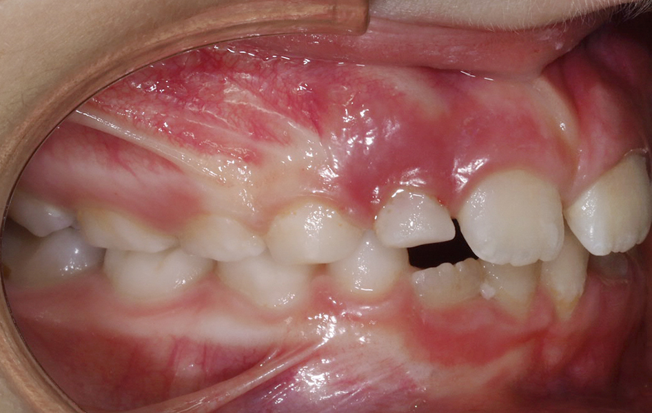
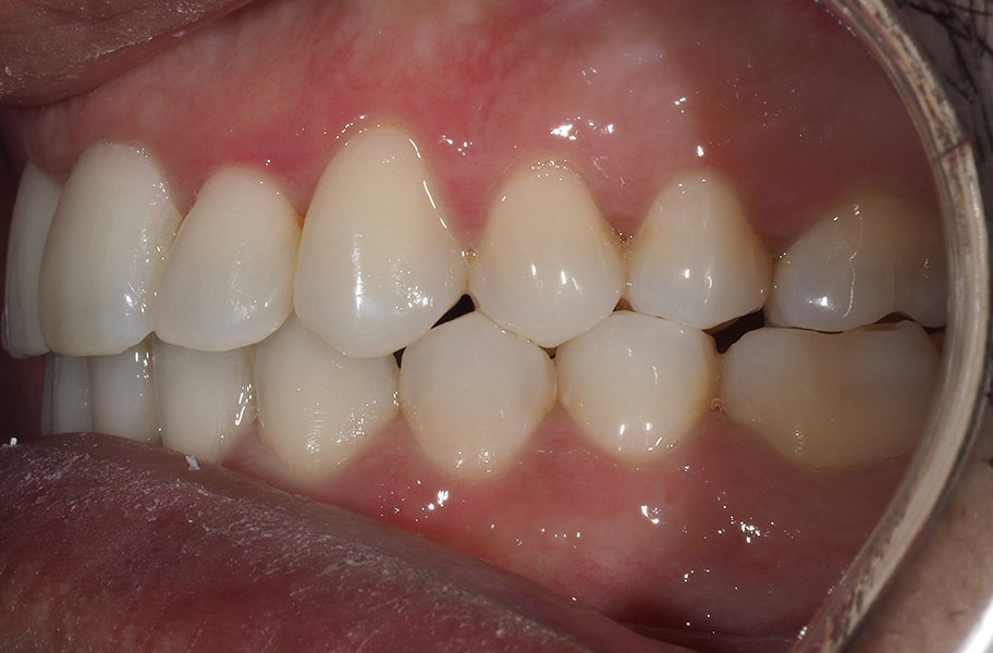
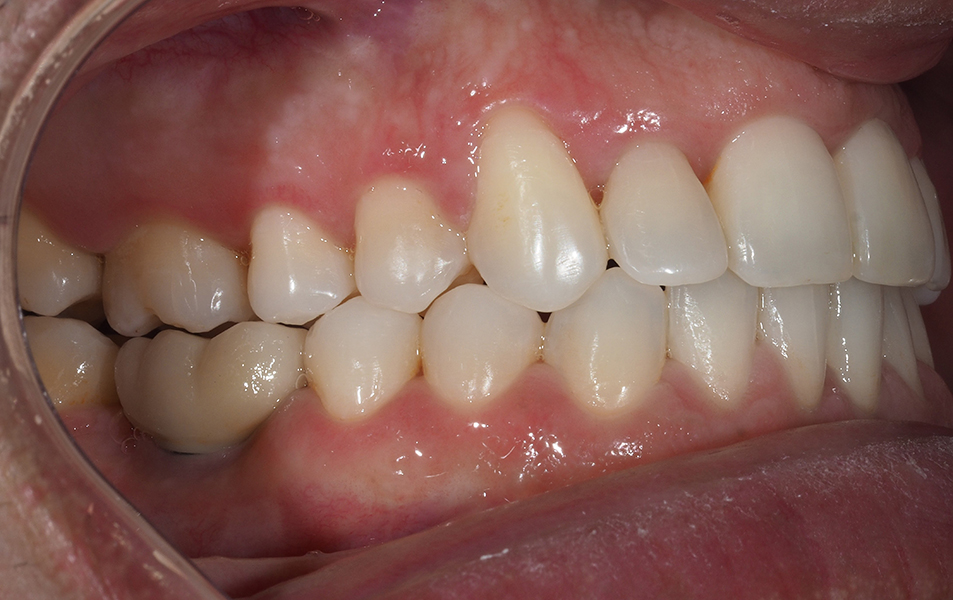
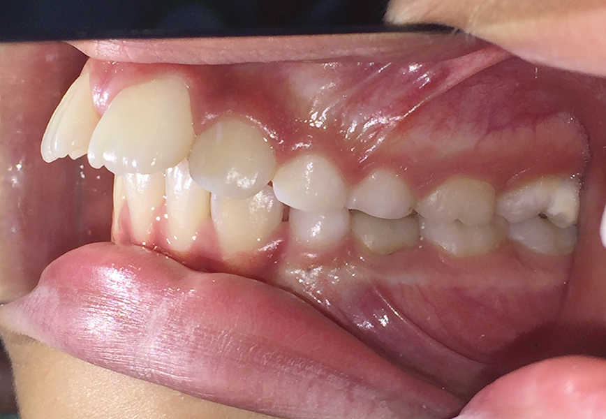
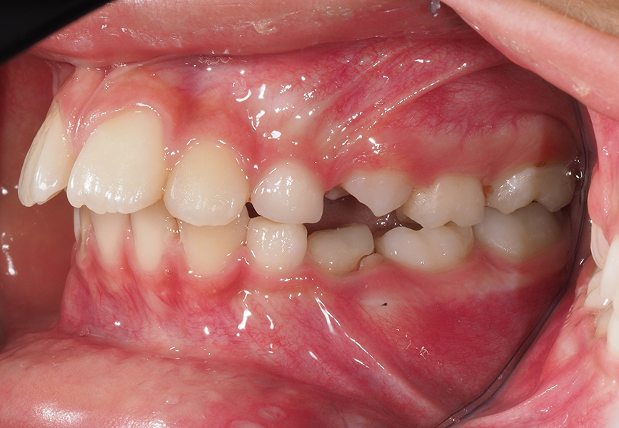
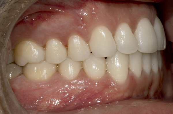
LATERAL DCHO. ANTES
dossier-soludental-5147-horizontal.cdr
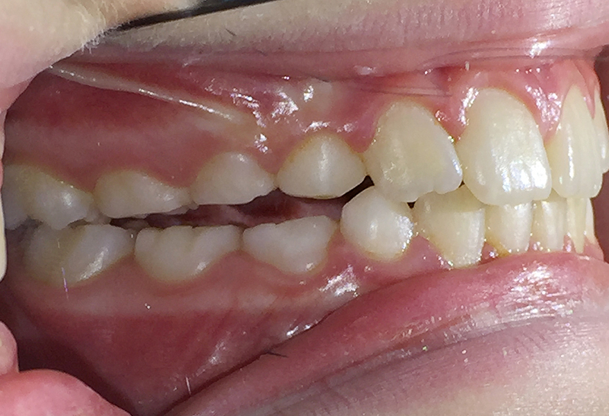
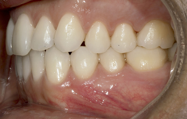
LATERAL DCHO. DESPUÉS
dossier-soludental-5147-horizontal.cdr
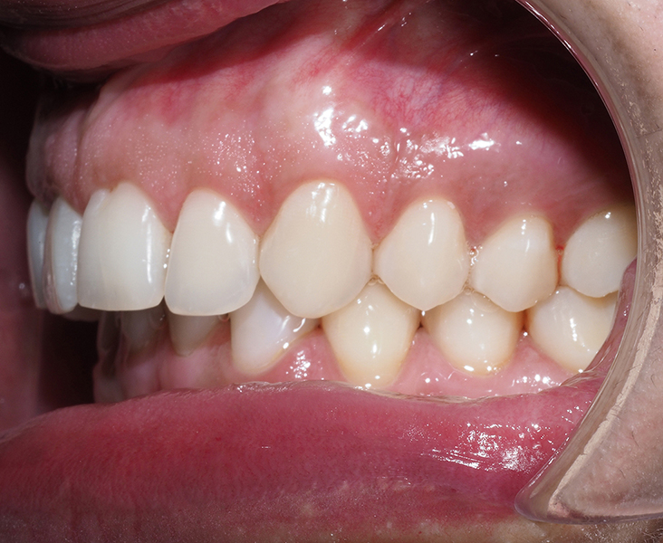
LATERAL IZQ. ANTES
dossier-soludental-5147-horizontal.cdr
LATERAL IZQ. DESPUÉS
dossier-soludental-5147-horizontal.cdr
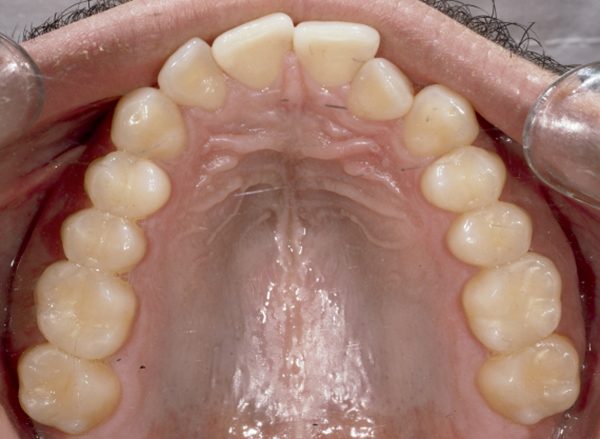
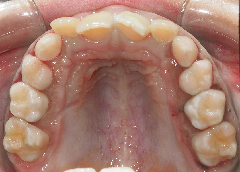
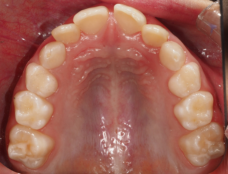
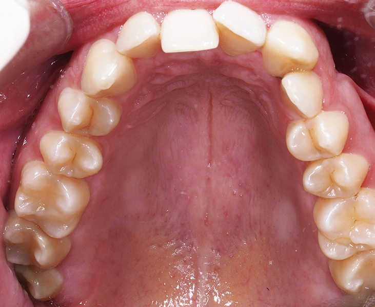
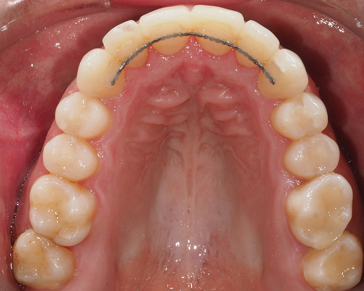
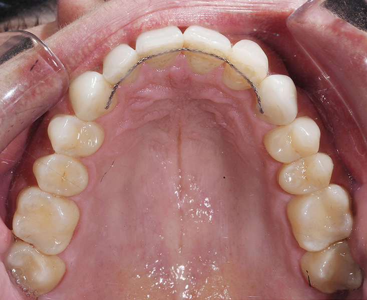
OCLUSAL SUP. ANTES
dossier-soludental-5147-horizontal.cdr
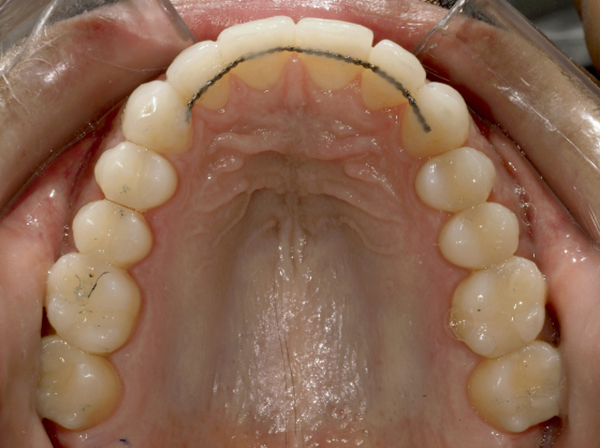
OCLUSAL SUP. DESPUÉS
dossier-soludental-5147-horizontal.cdr
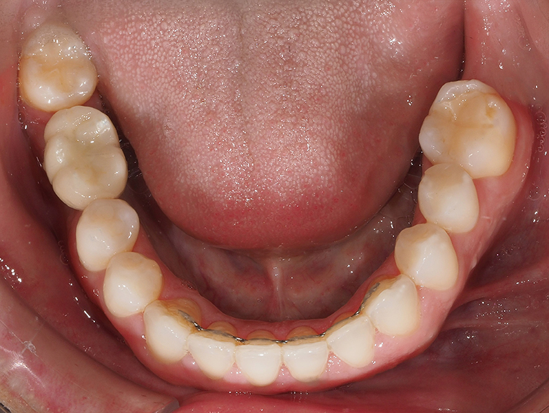
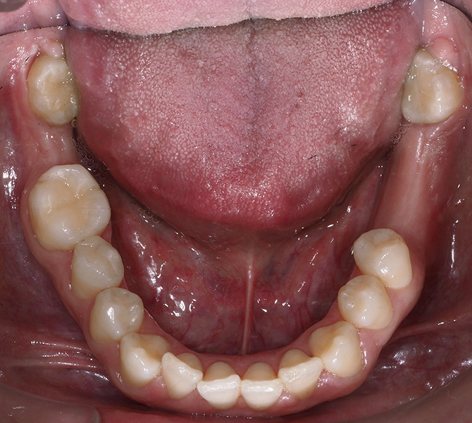
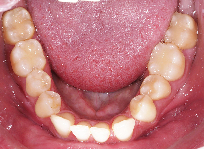
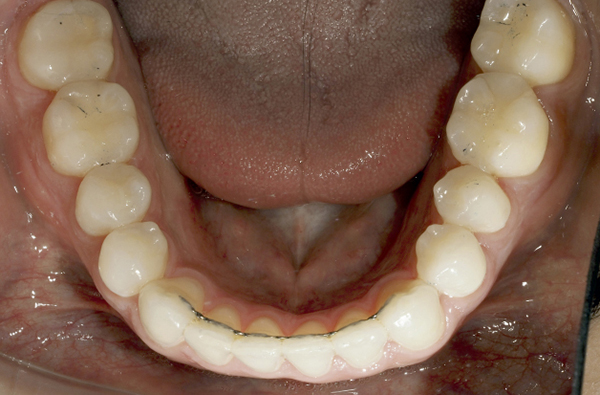
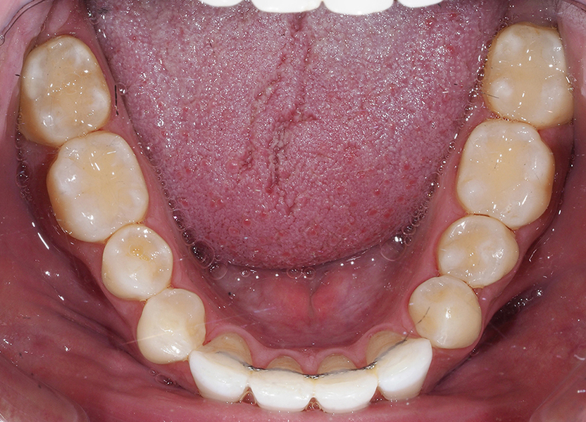
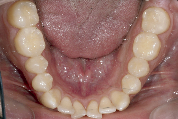
OCLUSAL INF. ANTES
dossier-soludental-5147-horizontal.cdr
OCLUSAL INF. DESPUÉS

Ortodoncia lingual

soludental
CARA ANTES
soludental
CARA DESPUÉS
soludental
SONRISA ANTES
5759_(2)
SONRISA DESPUÉS
soludental
FRONTAL ANTES
soludental
FRONTAL DESPUÉS
soludental
LATERAL DCHO. ANTES
soludental
LATERAL DCHO. DESPUÉS
soludental
LATERAL IZQ. ANTES
soludental
LATERAL IZQ. DESPUÉS
soludental
OCLUSAL SUP. ANTES
soludental
OCLUSAL SUP. DESPUÉS
soludental
OCLUSAL INF. ANTES
5759-8
OCLUSAL INF. DESPUÉS

Ortodoncia con braquets

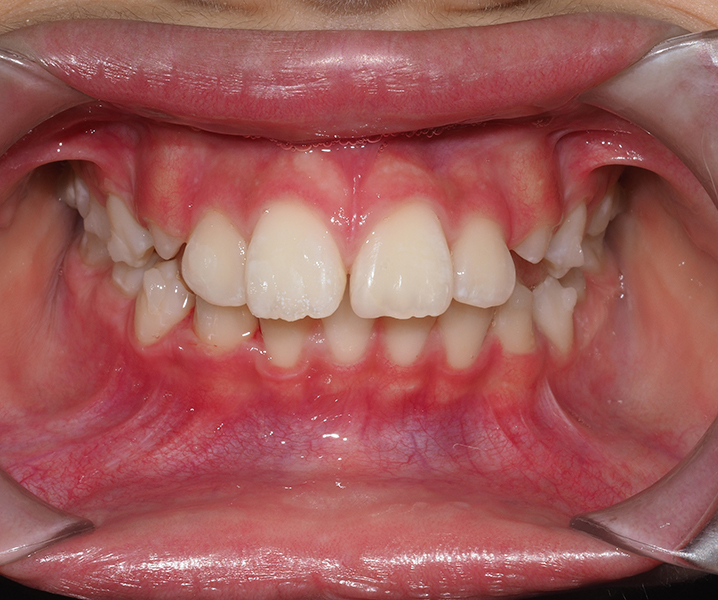
6182-antes (1)
CARA ANTES
soludental
CARA DESPUÉS
soludental
SONRISA ANTES
soludental
SONRISA DESPUÉS
soludental
FRONTAL ANTES
soludental
FRONTAL DESPUÉS
soludental
LATERAL DCHO. ANTES
soludental
LATERAL DCHO. DESPUÉS
soludental
LATERAL IZQ. ANTES
soludental
LATERAL IZQ. DESPUÉS
soludental
OCLUSAL SUP. ANTES
soludental
OCLUSAL SUP. DESPUÉS
soludental
OCLUSAL INF. ANTES
soludental
OCLUSAL INF. DESPUÉS