Soludental

Estética Dental en Santa Cruz de Tenerife

La estética dental se especializa en mejorar la apariencia de los dientes y la sonrisa. Los tratamientos de estética dental pueden corregir la forma de los dientes a través de técnicas como el remodelado dental, que
suaviza y equilibra la forma de los dientes. También incluye el uso de carillas de última generación, como las
carillas de disilicato de litio, que pueden transformar por completo la apariencia de tu sonrisa, proporcionándote un aspecto más armonioso y atractivo.

Tratamientos de Estética Dental en Santa Cruz de Tenerife

Blanqueamiento: Utilizamos técnicas avanzadas para aclarar el tono de tus dientes y eliminar manchas, proporcionando una sonrisa más brillante y atractiva.

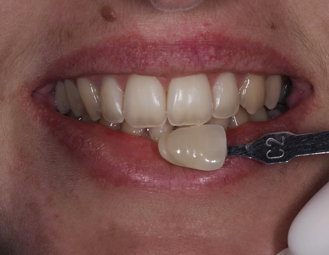
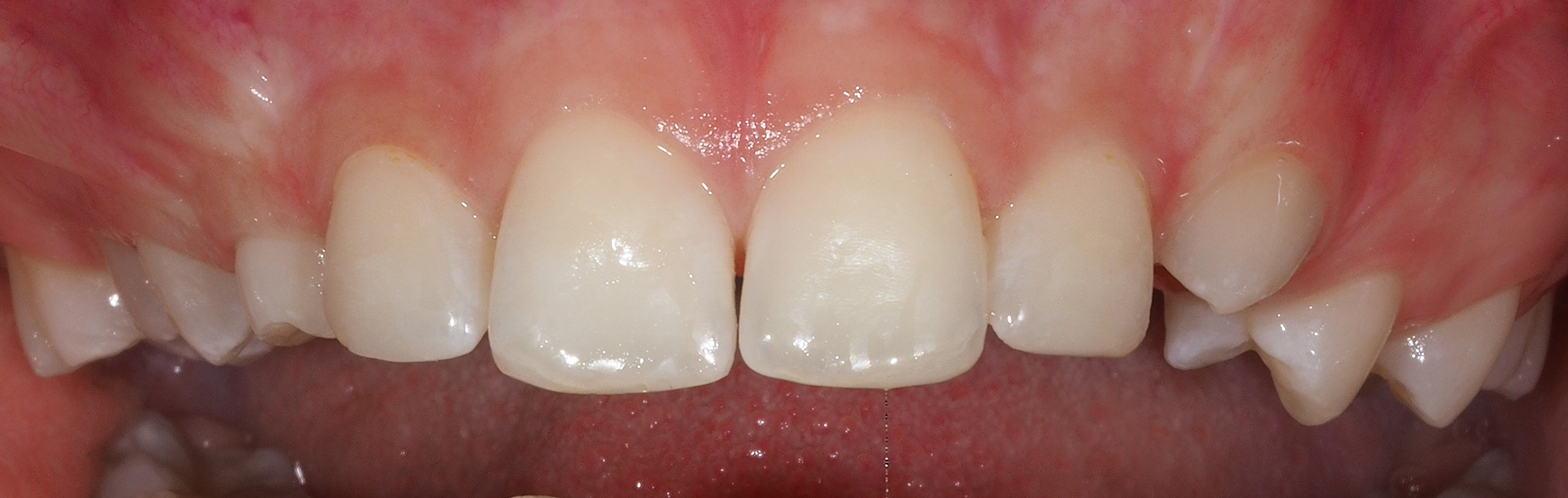
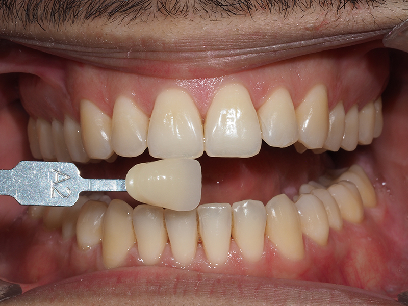
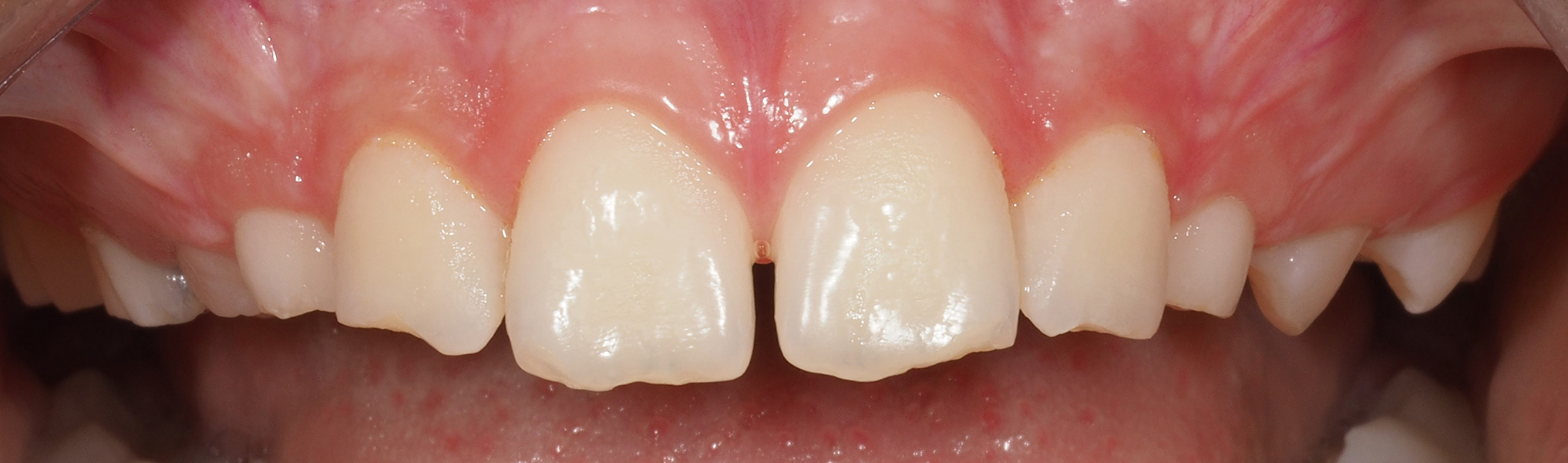
Carillas: Las carillas de porcelana y disilicato de litio se aplican sobre la superficie de los dientes para corregir imperfecciones como manchas, desgastes y desalineaciones.

Diseño de Sonrisa: Mediante el uso de tecnología 3D, planificamos y creamos una sonrisa armoniosa y personalizada que se adapta a tus facciones y preferencias.

Contorneado Dental: Remodelamos la forma de tus dientes para lograr una apariencia más equilibrada y estética.

Restauraciones Estéticas: Reemplazamos los empastes metálicos con materiales del color del diente para una apariencia más natural.

Estética de Encías: Tratamos problemas de encías para mejorar su apariencia y crear un marco más estético para tus dientes.

Mejoras que Ofrece la Estética Dental en Santa Cruz de Tenerife

Mejora de la Autoestima y Confianza

Una sonrisa atractiva puede aumentar significativamente tu autoestima y confianza en ti mismo.

Aspecto Natural y Atractivo

Los tratamientos de estética dental en Soludental utilizan materiales de alta calidad que imitan la apariencia natural de losdientes.

Corrección de Imperfecciones Dentales

La estética dental puede corregir una variedad de imperfecciones dentales, incluyendo manchas, fracturas, desalineaciones y espacios entre los dientes.

Prevención de Problemas Bucales

Algunos tratamientos de estética dental también pueden tener beneficios preventivos.

Tratamientos Personalizados

En Soludental, ofrecemos tratamientos de estética dental personalizados para adaptarnos a tus necesidades y deseos específicos.

Resultados Duraderos

Gracias a las técnicas avanzadas y los materiales de alta calidad que utilizamos, los resultados de nuestros tratamientos de estética dental son duraderos.

Cómo Realizamos los Tratamientos de Estética Dental

La estética dental se realiza mediante un proceso integral que comienza con una evaluación completa y un diagnóstico preciso por parte de nuestros especialistas de estética dental en Tenerife. A partir de ahí, diseñamos un plan de
tratamiento personalizado que puede incluir técnicas como blanqueamiento dental, carillas y contorneado dental.

Utilizamos materiales de alta calidad y tecnología avanzada para asegurar resultados naturales y duraderos, proporcionando unasonrisa más atractiva y saludable.

¿Quién Puede Beneficiarse de la Estética Dental en Santa Cruz de Tenerife?

Los tratamientos de estética dental en Santa Cruz de Tenerife están recomendados para cualquier persona que desee mejorar la apariencia de su sonrisa, siempre que tenga un buen estado de salud bucodental. Es decir, si padeces alguna enfermedad periodontal o caries, es necesario solucionar estos problemas antes de someterte a cualquier tratamiento dental estético.

En Soludental, nuestros especialistas en estética dental en Santa Cruz se asegurarán de que tu salud bucal esté en óptimas condiciones antes de comenzar con los procedimientos estéticos, garantizando así los mejores resultados.

Estética Dental en Santa Cruz de Tenerife

Mejora tu Sonrisa con Estética Dental en Santa Cruz de Tenerife

La estética dental se especializa en mejorar la apariencia de los dientes y la sonrisa. Los tratamientos de estética dental pueden corregir la forma de los dientes a través de técnicas como el remodelado dental, que suaviza y equilibra la forma de los dientes. 

También incluye el uso de carillas de última generación, como las carillas de disilicato de litio, que pueden transformar por completo la apariencia de tu sonrisa, proporcionándote un aspecto más armonioso y atractivo.

Tu tratamiento de estética dental en Santa Cruz de Tenerife empieza aquí

¿Necesitas más información sobre nuestros tratamientos dentales en Santa Cruz de Tenerife? No dudes en ponerte en contacto con nosotros. En Soludental, te asesoraremos con confianza para mejorar la salud y estética de tu sonrisa. Nuestro equipo de profesionales en Santa Cruz de Tenerife está aquí para ayudarte a lograr una sonrisa radiante y saludable.

Opiniones y Testimonios de Nuestros Pacientes

Resolvemos tus dudas más comunes sobre el servicio de estética dental

La estética dental es una rama de la odontología que se enfoca en mejorar la apariencia de los dientes, encías y la sonrisa en general. Incluye tratamientos como el blanqueamiento dental, carillas, coronas, implantes y ortodoncia.

Cualquier persona que desee mejorar la apariencia de su sonrisa y tenga un buen estado de salud bucodental es candidata para tratamientos de estética dental. Es importante que no haya enfermedades periodontales o caries activas antes de comenzar con los procedimientos.

La duración de los resultados varía según el tipo de tratamiento y el cuidado posterior. Generalmente, los resultados de tratamientos como las carillas y el blanqueamiento dental pueden durar varios años con un adecuado mantenimiento.

En la mayoría de los casos, los seguros dentales no cubren los tratamientos de estética dental, ya que se consideran procedimientos cosméticos. Sin embargo, es recomendable verificar con tu aseguradora para conocer las opciones disponibles.

Después de un tratamiento de estética dental, es importante mantener una buena higiene oral, incluyendo el cepillado regular, el uso de hilo dental y enjuague bucal. También se deben seguir las recomendaciones específicas del dentista para asegurar la durabilidad de los resultados.

Coronas
Carillas

NUESTROS CASOS:

Blanqueamiento

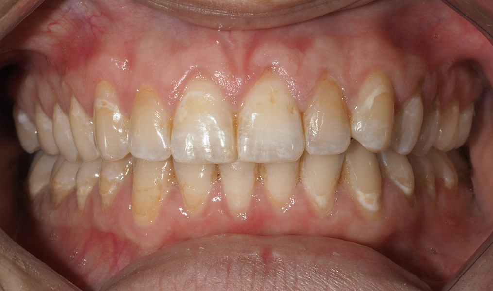
6074-ANTES (1)
ANTES
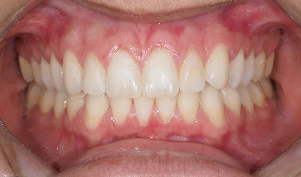
6074-DESPUES (1)
DESPUÉS
6074-ANTES
ANTES
6074-DESPUES
DESPUÉS

Blanqueamiento

soludental
ANTES
soludental
DESPUÉS
soludental
ANTES
soludental
DESPUÉS

Resina Infiltrativa

7377-ANTES (1)
ANTES
7377-
DESPUÉS
7377-ANTES
ANTES
7377-DESPUES (1)
DESPUÉS

Carillas de Composite

soludental
ANTES
soludental
DESPUÉS
soludental
ANTES
soludental
DESPUÉS

Carillas de Composite

6100-ANTES (1)
ANTES
6100-DESPUES (1)
DESPUÉS
6100-ANTES
ANTES
6100-DESPUES
DESPUÉS

Carillas de Composite

7415-ANTES
ANTES
7415-DESPUES
DESPUÉS
7415-7415-(1) ANTES
ANTES
7415-(1) DESPUES
DESPUÉS

Reconstrucción por fractura

soludental
ANTES
soludental
DESPUÉS

Reconstrucción por fractura

6182-ANTES
ANTES
6182-DESPUES
DESPUÉS

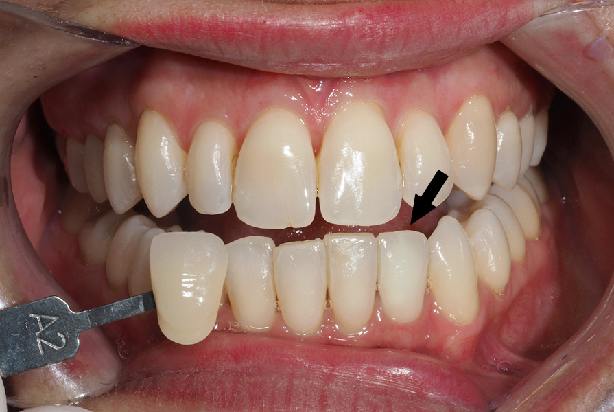
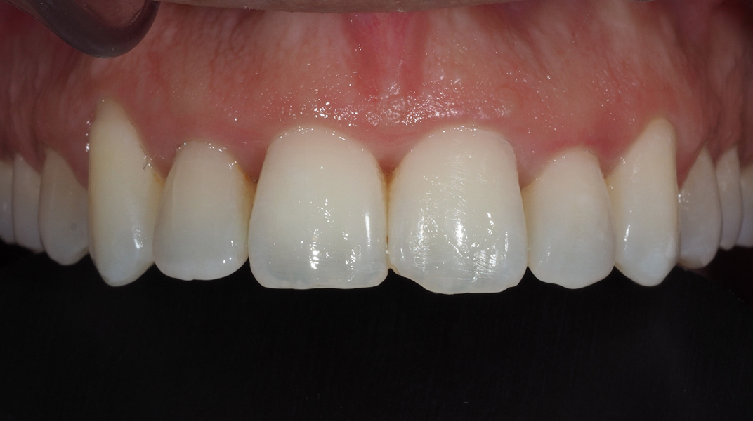
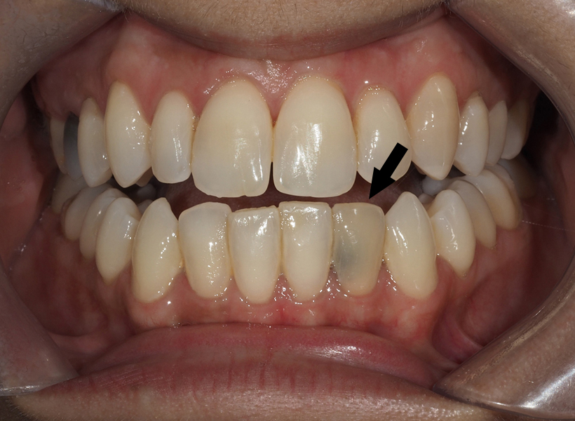
Blanqueamiento interno diente no vital, pieza 32

7616-ANTES-flecha
ANTES
7616-DESPUES-flecha
DESPUÉS

Aumento y perfilado labial con ácido hialurónico

6338-ANTES
ANTES
6338-DESPUES
DESPUÉS

Aumento y perfilado labial con ácido hialurónico

3501-ANTES
ANTES
3501-DESPUES
DESPUÉS

Aumento y perfilado labial con ácido hialurónico

6807-ANTES
ANTES
6807-DESPUES
DESPUÉS

Aumento y perfilado labial con ácido hialurónico

2893-ANTES
ANTES
2893-despues
DESPUÉS